由高温、低温、干旱、重金属以及病虫害引起的植物胁迫,导致每年农作物的产量降低,品质下降。每种胁迫都会导致活性氧的产生,活性氧主要是由叶绿体、线粒体的电子传递过程中产生的副产物。这些活性氧损伤了细胞的结构,进而导致细胞死亡。其中重金属胁迫除了影响作物产量外,植物吸收的这些有毒元素,还会通过膳食方式被人体吸收,影响人类的健康。
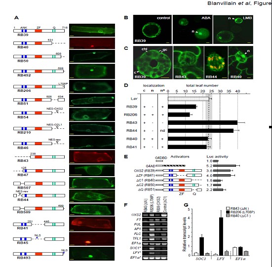
华南植物园基因工程中心区永祥(David W.Ow)研究员等科研人员多年来致力于阐明植物在耐受重金属过程中的分子机制,同时研究植物对由于重金属以及其他生物/非生物因素引起的氧化胁迫的耐受机理。近期对氧化胁迫耐受基因2(Oxidative stress 2) 功能的研究取得重要进展,发现OXS2为核质蛋白,可以从细胞质运输到细胞核,在胁迫环境下,OXS2蛋白作为转录因子,通过调节该基因本身和开花相关基因,进而调节植物由营养生长转向开花。
目前,该项研究成果已发表在国际著名学术期刊EMBO (European Molecular Biology Organization)〔doi:10.1038/emboj.2011.270. (影响因子:10.124) 〕上。

图:OXS2定位对开花时间的影响